





「癖(くせ)」とは、人が無意識のうちに行う習慣的な行動のことです。
「習慣」とは違って、あまり意味がない行動や場合によっては害になる行動となってしまうこともあります。
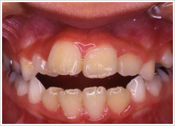
上記のクセはお口が関係する癖の例です。
このようなクセを持っているお子様の場合、歯の生え方や顎の発育に悪影響が出てしまう可能性があります。
正しい発育を促すためにも、悪いクセは早めに直すことが大切です。
小さなお子さまでしたら誰でもする指しゃぶり。
3才くらいまでは指しゃぶりは問題ないですが、5才以降まで指しゃぶりが続く場合は一度、ご相談下さい。
この時期まで指しゃぶりなどの習癖があると歯並びに大きく影響することは広く知られています。頬づえや寝るときの姿勢、食事の摂り方などの日常生活で注意すべき癖もあります。その他にも舌や口唇、頬や咀嚼の筋肉なども歯並びに大きく影響しますので、これらの機能が正しく行われていないようなら、習癖を改める訓練のプログラムも用意されています。この時期に舌や唇を正しく動かし方を身につけておくと口腔の健全な発育を促せるほか矯正治療後の歯並びも安定しやすいのです。