




当院には歯ならびや咬み合わせに不安がある多くの方に矯正相談にお越しいただいております。
矯正相談の際には実際に相談される方の口腔内を拝見して、問題点を把握した上で、相談を行います。ではどのような点に注目しているのか?確認するポイントは多岐にわたりますが、ここでは主な項目を簡単に挙げます。また、矯正治療の対象となる主だった不正咬合についても簡単に解説します。



上の前歯や上あごが前へ突き出ている咬み合わせ。指しゃぶりや口呼吸が原因であることが多い。
左は前歯が突き出ている典型タイプ。右は上の前歯が内側に倒れて一見、出っ歯には見えないが奥歯は出っ歯のかみ合わせになっている。

上下の前歯や上下のあご自体が前へ突き出ている咬み合わせ。口元が突出しており、口唇が閉じづらいことが多い。

下の前歯が上の前歯より前に出ている咬み合わせ。上あごの骨の成長が足りない場合や下あごの骨の成長が旺盛な場合などの骨格の問題で生じる場合(左)と上の前歯の生え方が原因の歯の問題で起きる場合(右)がある。

咬み合わせた時に上の前歯が下の前歯に深くかぶさっていて、前から見ると、下の前歯が見えない咬み合わせ 。骨格的な問題で起こる場合や上下の前歯が内側に倒れている場合がある。

咬み合わせた時に上下の前歯の間に隙間が開いている咬み合わせ 。骨格的な問題で起こる場合や指しゃぶりや舌突出癖などで起こる場合がある。

歯が歯列の中で収まりきれずにでこぼこになっている咬み合わせ 。歯の大きさとあごの骨の大きさの調和がとれていないスペース不足の場合や歯の萌出時のトラブルで起こる場合がある。

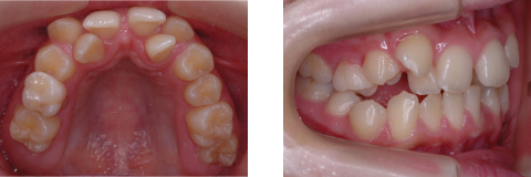
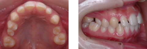
歯の間に隙間が開いている咬み合わせ 。骨の大きさに対して、歯の大きさが小さい場合や歯の先天欠如や埋伏したままの場合で本来の歯の本数が足りない場合に起こる。

上下の奥歯が横にずれている咬み合わせ 。本来の咬み合わせでは上の歯が下の歯より外側にあることが大切。ずれが大きく、歯が完全にすれ違っている状態が鋏状咬合。この不正咬合では下あごの骨が左右に偏位して、顔が曲がって見える場合がある。
