





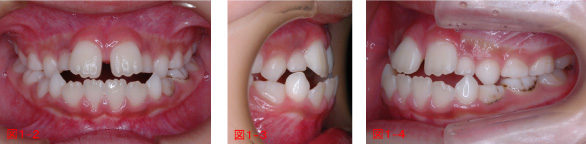
初診時年齢は7歳11ヶ月(小2)の男子。来院動機は受け口を治したいと来院されました。
初診時、上顎部分の前方成長が足りないので、顔の中央(鼻から頬のあたり)の陥凹感が認められます。治療の結果、上顎の前方成長が促されたので、顔の陥凹感が改善されています(白点線参照)。
上唇と下唇の関係も良くなっているのがわかります。本来、歯ならび、咬み合わせを治すために治療を行いますが、上下顎の前後的位置関係が改善されることで顔つきも良くなります。

下顎が前に出過ぎて受け口になっているのではなく、上顎の前方成長が足りず反対咬合(受け口)になっています。
治療はフェイスマスク装置を使用していただき、上顎の前方成長を促す治療を行います。装置は取り外し自由なので負担は少ないですが、毎日使用しないと効果が出ません。本人の努力も必要です。骨格の治療は効果が出るまでに1年前後かかります。上顎の前方成長を促す治療は11、12歳を過ぎると難しくなるので、できるだけ早期に治療を始めることが必要です。

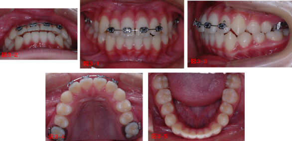
治療の結果、上顎が前方に成長し、反対咬合(受け口)が改善しています。上顎前歯が下顎より前に出ています。奥歯のずれも少なくなっています。治療期間は8歳1ヶ月~9歳0ヶ月までの11ヶ月でした。この後は定期観察を行います。
この時期に大切なことは、まず反対咬合の改善です。上顎前歯の生え変わりが進んで、歯並びはガタガタですが歯の配列は今後時期をみて行います。男子の骨格の成長(特に下顎)は小学高学年に本格化しますので、下顎はこれからどんどん前方成長しますので再び反対咬合になる可能性があります。下顎の成長に対して上顎の成長が足りないようなら、この後上顎の治療を再開します。

反対咬合(受け口)改善後、この時点までに再度、上顎の前方成長を促す治療を行いました。また、上顎前歯のガタガタを治療しました(前歯に装置が見えます)。下顎は治療を行っていません。
こどもの矯正治療は最後の永久歯(12歳大臼歯)が生えてきた時点で終了となります。今後、歯ならび、咬み合わせの総仕上げを希望するならマルチブラケット装置による第2期治療(おとなの治療)へ移行することになります。 通院のたびに歯磨き指導等も行ってきたので虫歯もない良好な口腔内環境が得られています。

初診時年齢は9歳10ヶ月(小4)の女子。来院動機は上顎前歯のガタガタを治したいと来院されました。
初診時、上顎前歯はガタガタと同時に前方に突出しており、上唇がEライン(鼻尖と下顎の最前方点を結ぶライン)(赤線)より前方に出ているのがわかります。矯正治療の結果、上顎前歯が配列されたため上唇が後退し、Eラインに対して上下唇は適正な状態になっています。本来、歯ならび、咬み合わせを治すために治療を行いますが、矯正治療で横顔も良くなります。

上顎前歯がガタガタと同時に前方に突出しており、上顎前突(出っ歯)であることがよくわかります。犬歯もきれいに生えるスペースが足りないようです。上顎は前歯だけでなく奥歯から前方にずれています。
治療は上顎前歯を配列するための2×4(ツーバイフォー)装置と奥歯の位置を改善するためのフェイスボー装置を使用していただきます。フェイスボー装置は取り外し自由なので負担は少ないですが、毎日使用しないと効果がでません。本人の努力も必要です。通常、上顎前突(出っ歯)の治療は9~10歳頃に始めます。

2×4(ツーバイフォー)装置を装着して治療開始後、8ヶ月経過したところです。上顎前歯はきれいに並んで、突出感も軽減しています。犬歯ももうすぐ並びそうです。フェイスボー装置の効果で奥歯の位置も良くなり、良い咬み合わせになっています。この治療は1年3ヶ月で終了しました。その後は定期観察を行います。定期観察は永久歯の生え変わりが終了するまで(通常13歳頃)続けます。それまでに問題が起こればその都度対処します。

こどもの矯正治療は最後の永久歯(12歳大臼歯)が生えてきた時点で終了となります。上顎前歯のガタガタと上顎前突(出っ歯)は改善されました。犬歯をはじめその他の永久歯も比較的きれいに並んでいます。今後、歯ならび、咬み合わせの総仕上げを希望するならマルチブラケット装置による第2期治療(おとなの治療)へ移行することになります。通院のたびに歯磨き指導等も行ってきたので虫歯もない良好な口腔内環境が得られています。